NEUTRAL BAY | AIRWAY & SLEEP HEALTH
Children’s Airway & Sleep Health
Healthy growth begins with healthy breathing
Children’s airway problems often go unnoticed — but they can affect sleep, behaviour, and facial development. We provide gentle, holistic care to support better airway function and long-term health.
What is Children’s Airway Dentistry and why does it matter?
Children’s airway dentistry focuses on how your child breathes, sleeps, and grows. It looks beyond just the teeth, examining the airway, jaw development, tongue posture, and breathing habits to ensure your child can grow, sleep, and function at their best.
Early intervention makes a big difference — helping children breathe better, sleep more soundly, and develop strong, balanced facial structures.
Healthy breathing = healthy growth
Poor airway development can affect jaw and facial growth, leading to narrow arches, dental crowding, or bite problems.
Better sleep = better learning
If a child struggles to breathe or sleep properly at night this can cause restlessness, tirednesss, behavioural issues, or difficulty concentrating at school.
Early intervention makes a difference
By identifying concerns such as mouth breathing, snoring, tongue/lip ties, or thumb-sucking habits early, we can guide proper growth and reduce the risk of lifelong sleep and dental problems.
Depending on your child’s needs, we may recommend:
-
Myofunctional therapy (muscle and tongue retraining)
-
Orthodontic growth guidance such as palatal expansion or jaw advancement
-
Habit correction (thumb sucking, tongue thrust)
-
Tongue or lip-tie release where necessary
-
Collaboration with paediatric specialists such as ENTs, sleep physicians, gastroenterologists, and speech therapists


How does early orthodontic intervention help airway development?
Early orthodontics is about more than straight teeth — it’s about healthy breathing and growth. With expanders or growth appliances, we can:
⦁ Improve nasal breathing and oxygen flow
⦁ Enhance sleep quality and daytime energy
⦁ Reduce the need for extractions or jaw surgery later
⦁ Lower the risk of future sleep apnoea
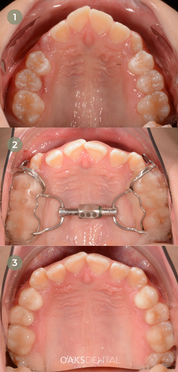
Dental expanders gently widen the upper or lower jaw to optimise growth and airway size. Other appliances may encourage forward jaw growth or help adult teeth erupt into the right position.
REMOVABLE UPPER EXPANDER


FIXED UPPER EXPANDER


Signs of Airway or Sleep Issues in Children
Airway obstruction or sleep-disordered breathing (SDB) may not always be obvious, but common signs include:
⦁ Mouth breathing, especially while sleeping
⦁ Loud snoring or noisy breathing
⦁ Restless sleep, frequent waking, or night sweats
⦁ Bedwetting past the typical age
⦁ Daytime tiredness, irritability, or difficulty concentrating
⦁ Delayed speech or difficulty focusing in school
⦁ Delayed growth or dark under-eye circles
⦁ Narrow jaws or dental cross-bites
If you notice any of these, it’s worth having your child assessed by our airway-trained dentists.
When should my child have an Airway Assessment?
We recommend an airway-focused assessment as early as age 2–4, or sooner if you notice sleep or breathing concerns. Early screening allows us to:
⦁ Detect and address issues before they worsen
⦁ Guide proper jaw and airway development
⦁ Reduce the risk of sleep disorders later in life
⦁ Work closely with medical specialists when needed


Key Factors That Impact Children’s Airway & Sleep Health
Habits that can affect airway & facial growth
Chronic habits such as thumb sucking, dummy use, or mouth breathing can:
-
Narrow the palate and airway
-
Contribute to long, narrow facial growth
-
Cause open bites or crossbites
-
Restrict tongue posture
Correcting these habits early supports healthier facial development.
Tongue ties and lip ties
A tight tongue-tie or lip-tie can interfere with swallowing, speech, posture, and breathing. Left untreated, this may lead to:
-
Mouth breathing and snoring
-
Feeding difficulties
-
Disrupted sleep
-
Altered jaw and facial development
At Oaks Dental, we take a team-based approach. We work with myofunctional therapists, speech pathologists, lactation consultants, ENTs, and paediatric dentists to ensure the best outcomes.
Why mouth breathing is a concern for children
Mouth breathing, especially while sleeping, can:
-
Narrow the upper jaw and restrict airway growth
-
Increase risk of dental crowding and misaligned bites
-
Lead to long, narrow facial development
-
Dry the mouth, increasing tooth decay and gum disease
Encouraging nasal breathing helps filter and humidify air, support better sleep, and promote balanced growth.
Sleep-Disordered Breathing (SDB) in children
SDB includes conditions such as snoring and obstructive sleep apnoea, where airflow is restricted during sleep. If untreated, this can:
-
Disrupt growth and learning
-
Cause behavioural or concentration issues
-
Lead to fatigue and poor quality of life
-
Increase risks of long-term health issues
ENLARGED TONSILS

TONGUE TIE

LIP TIE

Why Choose Oaks Dental for Children’s Airway & Sleep Health?
Our dentists are trained in airway-focused dentistry and sleep-disordered breathing
Holistic, collaborative approach with medical and allied-health professionals
Early intervention strategies to improve sleep, breathing, and growth
Gentle, family-friendly care in a calm, supportive environment
At Oaks Dental in Neutral Bay, we support children’s airway and sleep health with early assessments, myofunctional therapy, and growth guidance for lifelong wellbeing.

Ready to help your child breathe better and sleep well?
Restless nights, snoring, or mouth breathing could be signs of an airway issue. At Oaks Dental, we assess and support your child’s breathing so they can grow, thrive, and rest well.