NEUTRAL BAY  |  ORTHODONTICS

Braces at Oaks Dental

Confidence starts with a smile that feels aligned, comfortable, and uniquely yours.

Braces remain one of the most effective and reliable orthodontic treatments for straightening teeth and improving the way your smile functions. Whether you’re a parent exploring treatment for your child, a teenager beginning your orthodontic journey, or an adult looking to enhance your smile later in life, braces can help create long-term stability, balance, and harmony.

At Oaks Dental, we take a thoughtful and gentle approach to orthodontics. Every treatment plan is individually tailored, digitally planned, and supported with clear guidance at every stage, so you know exactly what to expect from the moment treatment begins.

What are braces?

Braces are a fixed orthodontic appliance that uses brackets and wires to guide your teeth into a more aligned and functional position. Small adjustments over time help improve spacing, correct bite issues, and enhance overall facial balance.

Braces may be recommended if you have:

  • Crowded or overlapping teeth
  • Gaps between teeth
  • Overbite, underbite, or crossbite
  • Jaw growth or alignment concerns
  • Complex tooth movements that require precise control

While clear aligners are a great option for many people, braces may be preferred in situations where more detailed or comprehensive movement is required.

What age is best for braces?

    Braces can be helpful at any stage of life as long as the teeth and gums are healthy. Different age groups benefit in different ways:

    Children

    Early assessments from age seven can help identify issues with growth, spacing, or jaw development. While full braces are not typically placed this early, interceptive treatment may be recommended in some cases.

    Teens (11–15 years)

    This is the most common time to begin braces. Most adult teeth have erupted, and natural growth can help guide the teeth into place more easily.

    Adults

    Braces can be just as effective in adulthood. More adults than ever are choosing orthodontic treatment to improve function, comfort, and confidence.

    At Oaks Dental, your dentist will assess your alignment, bite, facial profile, and oral health to determine whether braces are the most suitable option for your specific needs.

    .

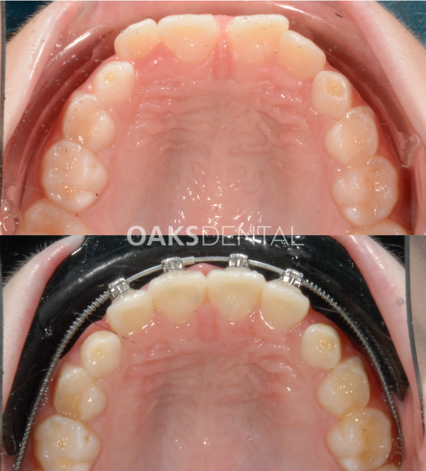
    Before & After

    FULL BRACES

    Oaks Dental Neutral Bay Dentist-Orthodontic Dentistry-Braces-Childrens dentistry-full braces-Before and After

    Type of  Braces at Oaks Dental

    We offer a range of orthodontic options to suit your goals, lifestyle, and case complexity:

    Metal Braces

    Strong, reliable, and widely used, metal braces remain the gold standard for predictable movement.

    Ceramic (Clear) Braces

    Tooth-coloured brackets that blend in with your smile, offering a more discreet alternative.

    Lingual Braces

    Placed behind the teeth, lingual braces provide complete invisibility from the front.

    Combination Treatments

    Some patients may benefit from a blend of braces and clear aligners for specific movements, depending on their treatment goals.

    Your dentist will discuss each option clearly so you can choose the one that best suits your priorities.

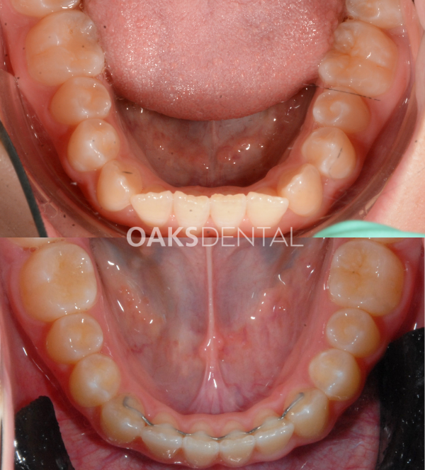
    Before & After

    FULL BRACES (ORTHODONTICS)

    Oaks Dental Neutral Bay Dentist-Orthodontic Dentistry-Braces-Childrens dentistry-full braces-Before and After

    TOP

    Oaks Dental Neutral Bay Dentist-Orthodontic Dentistry-Braces-Childrens dentistry-full braces-Before and After

    FRONT

    Oaks Dental Neutral Bay Dentist-Orthodontic Dentistry-Braces-Childrens dentistry-full braces-Before and After

    BOTTOM

    Why choose Oaks Dental for Braces? 

    A calm, supportive experience

    Starting braces is an exciting step, and we make sure you feel fully prepared. Our clinicians explain each stage in detail, help you adjust comfortably, and offer ongoing support throughout your treatment. For longer visits, you can even relax with a movie while we work.

    Tailored Treatment for Children, Teens & Adults

    Every smile is unique. At Oaks Dental, braces are customised using digital planning systems to accurately map tooth movement and predict progress.

    Focus on Healthy, Long-Term Results

    Straight teeth are only part of the picture. We aim for a stable bite, balanced function, and an outcome that feels natural and comfortable. Retainer care is an essential part of maintaining these results, and we guide you through this process thoroughly.

    Oaks Dental Neutral Bay Team

    Living with Braces

    What can I eat with braces?

    Avoid hard, sticky, or crunchy foods that may damage the brackets or wires. Softer foods — such as pasta, steamed vegetables, soups, yoghurt, and rice — are usually more comfortable.

    How often are adjustments needed?

    You’ll typically visit every 4–8 weeks so your dentist can assess progress and make precise adjustments.

    Do I need to brush differently with braces?

    Yes. Braces require additional care to keep teeth and gums healthy. Tools like orthodontic toothbrushes, interdental brushes, floss threaders, or water flossers can help. We provide personalised advice based on your needs.

    After Braces

    What happens when braces come off?

    Your brackets are gently removed, your teeth are polished, and you’ll be fitted for custom retainers to help maintain your new alignment.

    Will my teeth move again?

    Some small, natural movement is normal throughout life, which is why retainers play an important role. Retainers will eventually wear with use and require occasional replacement.

    Frequently asked questions about Braces

      How long will I need braces for

      Treatment length varies depending on your alignment and bite concerns. Your dentist will provide an estimated timeframe based on your individual needs.

      Are braces painful?

      You may feel some pressure or tenderness after adjustments. This is normal and usually settles within a few days.

      Can adults get braces?

      Yes. Braces can be effective at any age, provided your teeth and gums are healthy.

      What happens if a bracket breaks?

      Contact us so we can arrange a repair appointment. Avoid delaying, as this may affect your treatment timeline.

      Will I need retainers after treatment?

      Yes. Retainers help maintain your results and are an essential part of long-term orthodontic care.

      Disclaimer

      Orthodontic treatment may not be suitable for everyone. Your dentist will assess your oral health and bite to determine suitability and discuss potential risks, benefits, and alternatives before treatment. Individual results vary.

      Unsure whether braces are right for you?

      Braces can help address a wide range of orthodontic and bite concerns. At Oaks Dental, we take the time to explain your options clearly so you can make a confident, informed choice — without any pressure.
      Book an orthodontic consultation with us to explore your options.