NEUTRAL BAY  |  CHILDREN’S DENTISTRY

Children’s Dentistry

Caring for little smiles, every step of the way

Happy kids, healthy smiles! We make dental visits fun, gentle, and positive so your child grows up confident about oral health.

Looking after little smiles with big care

At Oaks Dental, we love looking after kids of all ages and helping them build happy, healthy smiles that last a lifetime. Your child’s comfort is always our top priority. With a gentle, preventive approach, we focus on early education, ongoing care, and creating a calm, friendly space where little ones feel safe and supported.

We want your child to grow up with strong teeth, healthy habits, and positive experiences at the dentist — maybe even looking forward to their visits!

Why Parents Choose Oaks Dental for Children’s Dentistry

Gentle, child-friendly approach

Belinda, our Head of Children’s Dentistry, is an Oral Health Therapist who adores working with kids and makes every visit fun and stress-free. She focuses on prevention and early intervention to catch issues before they start.

Advanced training

Dr. Alice and Dr. Emily have additional training in airway-focused dentistry, supporting growth, breathing, sleep, and jaw development.

Nurturing healthy habits from the start

We explain everything in simple, age-appropriate ways so children feel confident and involved in their care.

A fun environment

From ceiling cartoons to storybooks in the waiting room, we make dental visits a positive part of your child’s routine.

Oaks Dental Neutral Bay-The Team

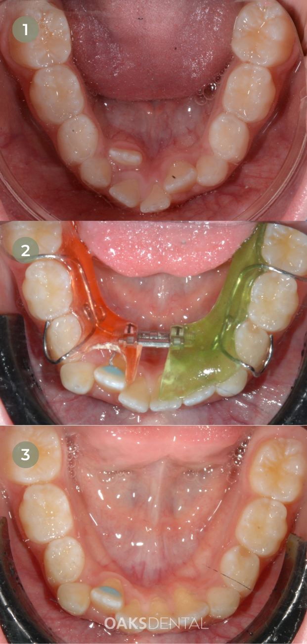
Early Orthopaedic Intervention

Why early dental care matters

Starting dental care early sets children up for a lifetime of healthy habits. Regular visits:

  • Keep teeth strong and prevent cavities
  • Monitor jaw and facial growth
  • Reduce dental anxiety by building trust from a young age
  • Help kids feel proud of their smiles

At Oaks Dental, we’re here to make caring for little smiles easy, positive, and fun — for kids and parents alike.

Child Dental Benefits Scheme (CDBS)

Eligibility for the CDBS is determined by Medicare. To qualify, your child must be aged 0-17, be eligible for Medicare, and receive (or be part of a family receiving) certain government benefits such as Family Tax Benefit Part A.  If you are unsure, feel free to contact us – our team can check eligibility for you in just a few minutes.  

Call us today or book online to find out if your child qualifies and get started with essential dental care fully covered by CBDS 

What treatments are covered under CDBS?

The Child Dental Benefits Scheme covers a wide range of essential dental services, including: 

  • Check-ups and cleans 
  • X-rays 
  • Fillings 
  • Fissure Sealants 
  • Extractions 
  • Root canal treatments 

The scheme does not cover orthodontics, cosmetic dentistry and dental services in hospital. 

Child Dental Benefits FAQs

How much is covered and how often under CDBS?

Eligible children can access up to $1,132 worth of dental treatment over two consecutive calendar years. This limit renews after two years if your child remains eligible. The full amount doesn’t need to be used all at once – it can be spread across multiple appointments. Any unused credit does not carry over to the next two year cycle.

Do I need to pay anything upfront if my child is covered under CDBS?

At Oaks Dental, we bulk bill all eligible CDBS services, which means there’s no outofpocket cost for you. We simply check your child’s eligibility and process the claim through Medicare on your behalf, making your visit easy and stress free.  

How do I use my child's CDBS at Oaks Dental?

Just let us know you’d like to use the CDBS when booking your appointment. We’ll check your child’s eligibility and remaining balance with Medicare and let you know what’s covered. From there, we’ll take care of the paperwork and ensure your child receives the care they need.  

Common Questions Parents Ask

    When should my child have their first dental visit?

    The Australian Dental Association recommends by age 1, or when the first tooth appears. Early visits help detect concerns, familiarise kids with the dental setting, and build lifelong healthy habits.

    What preventive treatments are available?

    We offer fluoride treatments, fissure sealants, sports mouthguards, and monitoring of jaw growth, sleep, and airway health.

    How often should my child have check-ups?

    We recommend every 6 months. Regular visits maintain healthy teeth and gums, catch problems early, and build trust with the dental team.

    Is fluoride treatment safe for kids?

    Yes — we follow Australian guidelines, using a safe, small amount applied directly to the teeth. We also provide fluoride-free options if preferred.

    When should my child start using fluoride toothpaste?

    • No toothpaste before 18 months

    • Age 18 months–6 years: low-fluoride toddler paste (rice-grain smear)

    • Age 6+: adult-strength fluoride paste (pea-sized amount)

    How can I help my child feel comfortable at the dentist?

    We take a gentle, supportive approach. Our team explains everything in child-friendly language, and our clinic environment helps kids feel relaxed — with ceiling cartoons and fun books to enjoy.

    Ready to care for your little one’s smile?

    We make visits fun, gentle, and stress-free — so your child feels safe, supported, and even excited to look after their smile. We’ll guide you every step of the way and explain all options clearly, so caring for little smiles feels easy.