NEUTRAL BAY  |  RESTORATIVE DENTISTRY

Dental Crowns & Onlays at Oaks Dental

Protect, strengthen, and restore your smile with natural-looking precision.

When a tooth becomes weakened — whether from cracks, heavy wear, a large filling, or after root canal treatment — it may no longer have the strength to function comfortably on its own. Dental crowns and onlays offer a strong, long-lasting way to rebuild and support these compromised teeth while restoring both comfort and appearance.

At Oaks Dental, we design each crown and onlay individually, ensuring it blends beautifully with your natural enamel and supports your bite for years to come. Our restorations are crafted from high-quality ceramic or gold materials for exceptional durability, biocompatibility, and a seamless fit.

Oaks Dental Neutral Bay Dental porcelain crown

What is a Dental Crown or Onlay?

A dental crown or onlay is a custom-made restoration that replaces the damaged or weakened portion of a tooth. Unlike fillings, which rebuild small areas of damage, crowns and onlays add strength to teeth that need broader support.

Dental Crowns

A crown covers the entire visible surface of the tooth. It is recommended when the tooth is significantly weakened, cracked, heavily filled, or has undergone root canal therapy.

Dental Onlays

An onlay covers part of the chewing surface while preserving more natural tooth structure. It is ideal for moderate fractures or decay when the tooth still has enough strength to avoid a full crown.

All crown and onlay materials used at Oaks Dental are safe, biocompatible, and well-tolerated.

What is the difference between a Crown, Onlay and Inlay?

Oaks Dental Neutral Bay-Dental Crown onlay and Inlay
Treatment Covers Best for Key Benefit
Dental Crown Entire tooth Heavily weakened, fractured, or root canal – treated teeth Provides full protection and strength
Onlay Part of the chewing surface Moderate damage or decay Preserves more natural tooth structure
Inlay Inside the cusps of the tooth

Small cavities or localised decay

Strengthens tooth while conserving enamel

Dental Crown

  • Covers: Entire tooth

  • Best for: Heavily weakened, fractured, or root canal–treated teeth

  • Key Benefit: Provides full protection and strength


Onlay

  • Covers: Part of the chewing surface

  • Best for: Moderate damage or decay

  • Key Benefit: Preserves more natural tooth structure


Inlay

  • Covers: Inside the cusps of the tooth

  • Best for: Small cavities or mild decay between cusps

  • Key Benefit: Strengthens tooth while conserving enamel

INLAY (GOLD)

Treating tooth decay

Oaks Dental Neutral Bay Dentist-Restorative Dentistry-Porcelain Onlay-Before and After

ONLAY (PORCELAIN)

Treating a cracked tooth

Oaks Dental Neutral Bay Dentist-Restorative Dentistry-Composite Crown-Before and After

DENTAL CROWN (COMPOSITE)

Tooth wear stabilisation from grinding, reflux & acidic diet

Which option is right for me?

If your tooth has been damaged, weakened, or restored multiple times, a crown or onlay may provide the strength and stability it needs.
Common reasons include:

  • Large or old fillings that no longer support the tooth
  • Cracks or fractures
  • Worn or eroded teeth
  • Root canal–treated teeth
  • Broken cusps or missing tooth structure

During your consultation at Oaks Dental, we’ll carefully assess your tooth, discuss your goals, and recommend the solution that best protects your long-term oral health.

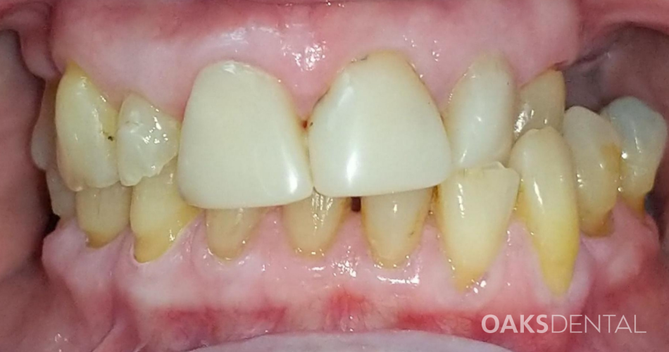
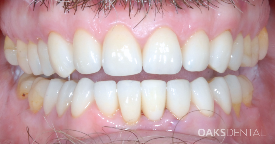
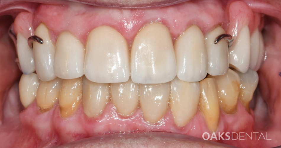
Before & After

Porcelain crowns & onlays

Tooth wear from grinding & acidic diet

Porcelain crowns

Closing spaces

Porcelain crowns & denture

Smile rehabilitation

What happens during a crown or onlay procedure? 

1. Initial Consultation

Your dentist will assess the tooth, reviewing X-rays if needed, to determine whether a crown, onlay, or alternative treatment is the most suitable option. In some cases, root canal treatment may be required before the tooth can be restored.

2. Local Anaesthetic

A strong numbing gel followed by local anaesthetic ensures your procedure is comfortable and pain-free.

3. Tooth Preparation

The weakened or damaged areas are removed, and the tooth is shaped so that the restoration can fit securely.

4. Digital 3D Scan

We take a precise digital scan of your tooth — no messy impressions — to create a perfectly tailored restoration.

5. Temporary Crown or Onlay

A temporary restoration protects your tooth while your custom ceramic or gold crown/onlay is being crafted.

6. Final Fitting

Once your permanent restoration is ready, we carefully bond it in place, refine the shape, and check your bite for comfort and function.

The result is a strong, natural-looking tooth that helps you chew confidently and comfortably.

Why choose Oaks Dental for Dental Crowns & Onlays? 

L

Experienced Clinicians

Our dentists have extensive experience in planning and placing durable, beautifully crafted restorations tailored to your unique bite and smile.

L

Conservative, Tooth-Focused Approach

Whenever possible, we preserve healthy tooth structure and recommend the least invasive option suitable for your long-term oral health.

L

Premium Materials, Trusted Ceramicists

We partner with skilled dental technicians to ensure each crown and onlay is meticulously crafted from high-quality ceramic or gold.

L

Gentle, Person-Centred Care

We explain each step clearly and ensure your comfort throughout the entire process, from initial consultation to final fitting.

Gold crowns — a premium option for strength

In addition to natural-looking ceramic options, Oaks Dental also offers high-quality gold crowns and onlays.
Gold may be recommended when:

  • You grind or clench your teeth
  • The tooth experiences heavy biting forces
  • The tooth is severely worn or broken
  • Maximum durability is needed

Gold is exceptionally strong, long-lasting, and biocompatible, though less aesthetic than ceramic. Your dentist will help you decide whether gold or ceramic best suits your needs.

 

Frequently Asked Questions

    Does getting a crown or onlay hurt?

    Local anaesthetic ensures the procedure is comfortable. You may feel mild sensitivity afterward, which usually settles quickly.

    How long do crowns and onlays last?

    Longevity depends on materials, oral hygiene, and bite forces. With good care, they are designed to be durable for many years.

    Will my crown look natural?

    Ceramic crowns and onlays are colour-matched to your natural teeth for a seamless appearance.

    Do all root canal teeth need crowns?

    Many do, as root canal treatment can weaken a tooth. Your dentist will assess whether a crown or onlay is recommended.

    What’s the difference between composite fillings and onlays?

    Fillings repair small areas of damage. Onlays are crafted restorations that cover larger sections for added strength.

    Can a crown fix a cracked tooth?

    A crown is often recommended for structural cracks, but suitability depends on the severity and direction of the fracture.

    Oaks Dental-teeth whitening-neutral bay

    Disclaimer

    Dental crowns and onlays may not be suitable for all situations. Your dentist will assess your oral health, explain the risks and benefits, and recommend the most appropriate treatment for your individual needs.