NEUTRAL BAY  |  COSMETIC DENTISTRY

Teeth Whitening

Brighten your smile safely, comfortably, and with confidence.

 

A brighter smile can make you feel refreshed, uplifted, and more self-assured. Over time, teeth naturally accumulate stains from daily habits, ageing, and the foods and drinks we enjoy. Professional whitening offers a gentle, effective way to lift these stains and reveal a noticeably brighter smile.

At Oaks Dental, we provide both in-chair whitening for immediate results and take-home whitening kits for gradual brightening. Our approach is personalised, comfortable, and designed with your long-term oral health in mind.

The oaks dental ‘keep it bright’ promise

Maintain your confident new smile with our ‘Keep It Bright’ program. In-chair whitening patients who return for their 6-monthly check-ups receive a complimentary professional-grade whitening top-up gel at each visit to keep their results fresh at home.

BOOK NOW

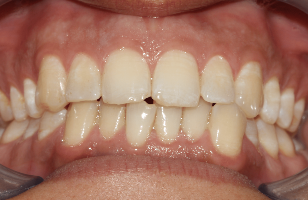
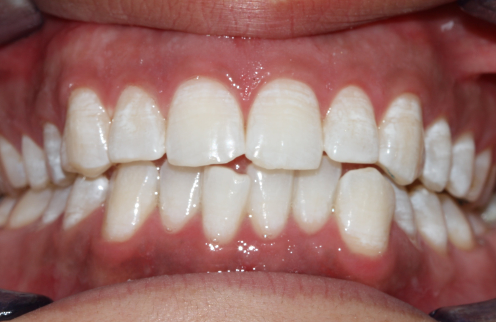
The Oaks Dental neutral bay-neutral bay-Teeth whitening-before and after The Oaks Dental neutral bay-neutral bay-Teeth whitening-before and after

Why do teeth become stained?

 

Tooth discolouration is extremely common and can develop for many reasons, including:

  • Coffee, tea, red wine, and deeply pigmented foods
  • Tobacco use
  • Age-related enamel thinning
  • Certain medications
  • Trauma to teeth
  • Inadequate oral hygiene
  • Natural variations in enamel tone

Understanding the cause of your staining helps us tailor the most effective whitening approach.

 

    How does professional whitening work?

     

    Whitening uses a peroxide-based gel that gently penetrates the enamel to break down stains without damaging tooth structure. At Oaks Dental, we offer two clinically supported options:

    In-chair whitening

    Performed in the clinic, this method uses a high-strength gel and an LED light to accelerate the whitening process. Results are generally visible in a single appointment.

     

    Take-home whitening kits

    Custom-fitted trays and dentist-prescribed gel allow gradual whitening over 1–2 weeks. This is ideal for patients who prefer flexibility or more control over their whitening progress.

    Both options are safe, effective, and designed to minimise sensitivity.

    Oaks Dental-teeth whitening-neutral bay

    Your whitening journey at oaks dental: what to expect

    1. Initial Consultation

    We assess your teeth to ensure you’re a good candidate to ensure the whitening treatment will deliver the best results for you.

    2. Shade Taking and Photography

    We record your starting shade to help you clearly see your whitening progress afterward.

    3. Preparation

    Your gums, lips, and soft tissues are protected to ensure comfort and prevent irritation.

    4. Whitening Gel Application

    A professional-grade gel is applied evenly to the teeth.

    5. LED Light Activation

    A professional-grade gel is applied evenly to the teeth.

    6. Immediate Brightening

    Most patients notice a change in colour within the same appointment, commonly completed in under two hours.

    7. Shade Comparison & Home Care Guidance

    We compare the before-and-after shades and provide personalised advice on maintaining your results.

    Oaks Dental Neutral Bay-The Team
    Oaks Dental-teeth whitening-neutral bay

    Frequently Asked Questions

      1. Is teeth whitening safe?

      Yes. When overseen by a dentist, whitening is considered safe. Your dentist will assess your suitability beforehand.

      2. Will whitening cause sensitivity?

      Some people experience temporary sensitivity that typically settles within 24–48 hours. Your dentist can adjust the treatment if needed.

      3. How long will my results last?

      This varies from person to person. With good oral care and mindful dietary choices, results can be long-lasting.

      4. Will whitening work on all teeth?

      Whitening does not change the colour of fillings, crowns, or veneers. Your dentist will discuss any limitations with you.

      5. Can I whiten my teeth if I have gum disease?

      Whitening is best performed on healthy teeth and gums. Any gum concerns will need to be addressed first.

      6. Is in-chair whitening better than take-home?

      Both are effective. In-chair whitening offers immediate results, while take-home allows gradual brightening. Your dentist can help determine the most suitable option.

      Disclaimer

      Teeth whitening results vary between individuals. Not all types of discolouration respond to whitening, and some patients may experience temporary sensitivity. Your dentist will assess your oral health to determine whether whitening is appropriate and will discuss potential risks, benefits, and alternatives before treatment.